
At Z Dental, nothing means more to us than the trust our patients place in our care. Every smile we help restore, every fear we help ease, and every transformation we’re part of is a reminder of why we do what we do. From routine care to life-changing treatments, these case studies and testimonials highlight the difference that personalised, compassionate dentistry can make.
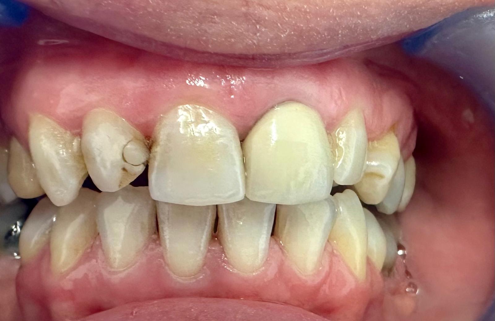
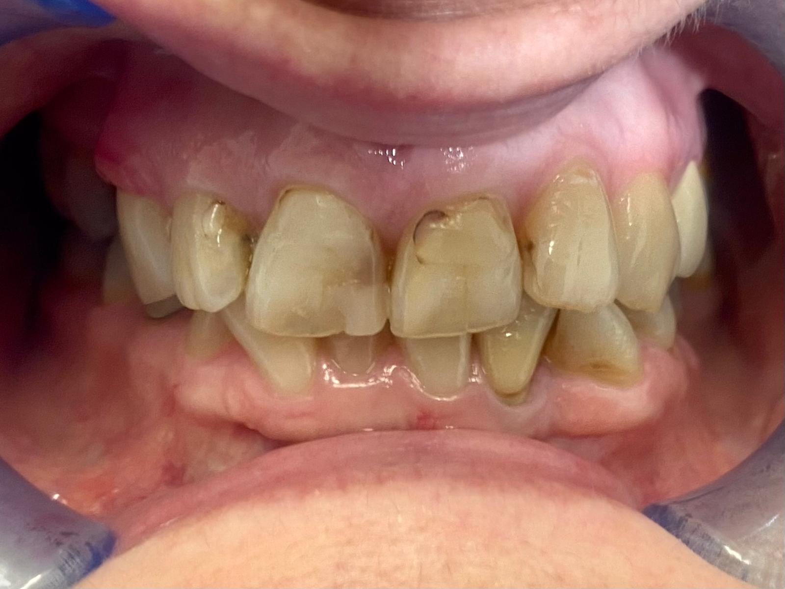
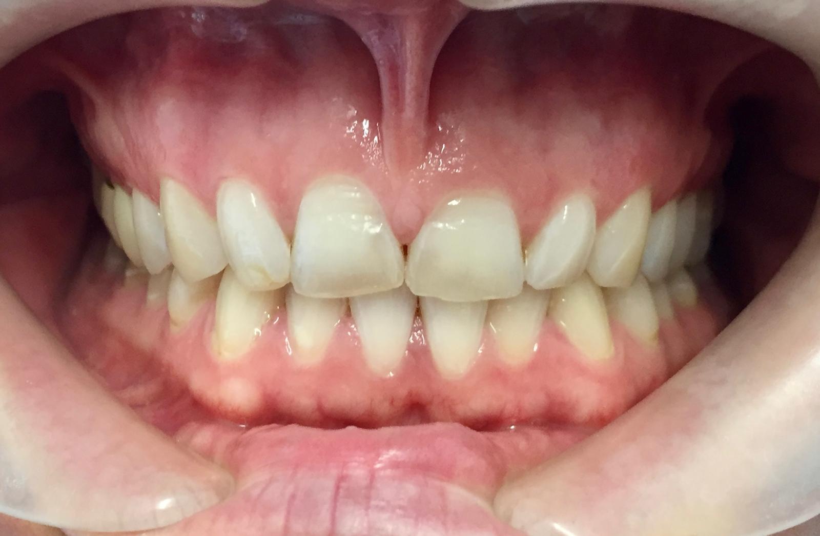
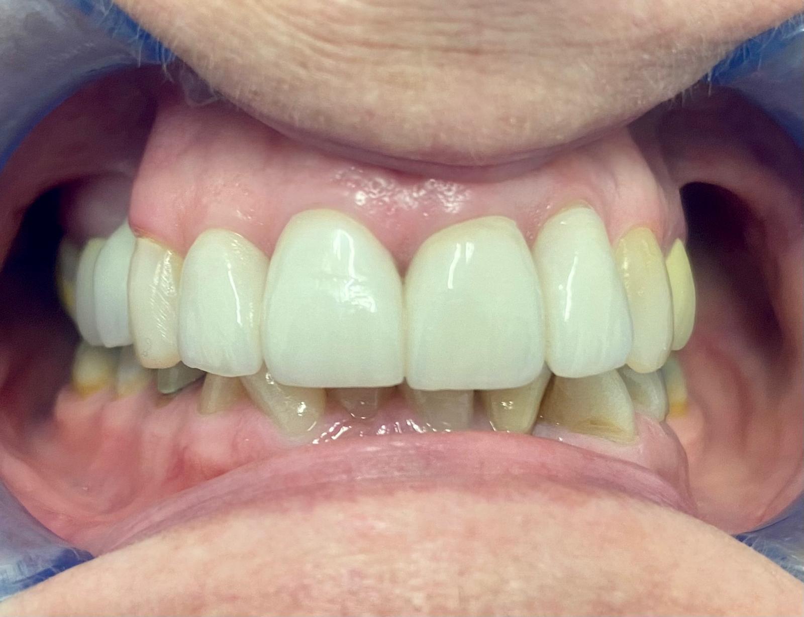
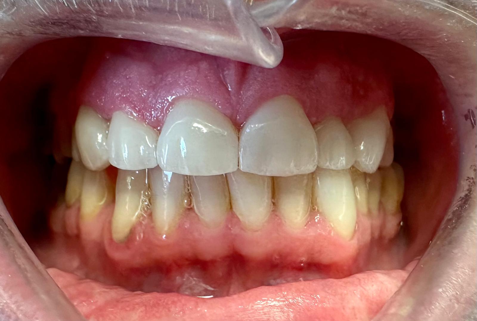
Using a combination of crowns, veneers and a dental bridge, we were able to rebuild damaged teeth, replace a missing tooth, and create a natural, balanced smile. Each restoration was carefully designed to blend seamlessly with the patient’s features for a long-lasting, confident result.
This patient wanted to improve the appearance of small gaps and dark spaces between their teeth, often known as black triangles. After a detailed assessment, we recommended composite bonding to gently reshape and refine the teeth for a more even, natural look.
Using a precise layering technique, our dentist added tooth-coloured resin to close gaps and smooth transitions between teeth, blending perfectly with the patient’s natural enamel.
This patient wanted to restore their smile after years of wear, discolouration and a missing tooth. Following a detailed consultation, we created a plan using a combination of crowns, veneers and a bridge to rebuild their smile. Each restoration was carefully designed to match their natural teeth, improving both function and appearance for a confident, lasting result.
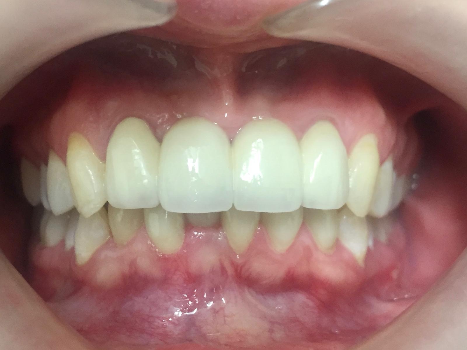
This patient wanted to improve the shape, colour and balance of their smile. After a detailed consultation, we used a combination of porcelain veneers and composite bonding to enhance symmetry, brighten the teeth and smooth minor imperfections. The result is a natural, confident smile with a seamless, radiant finish.
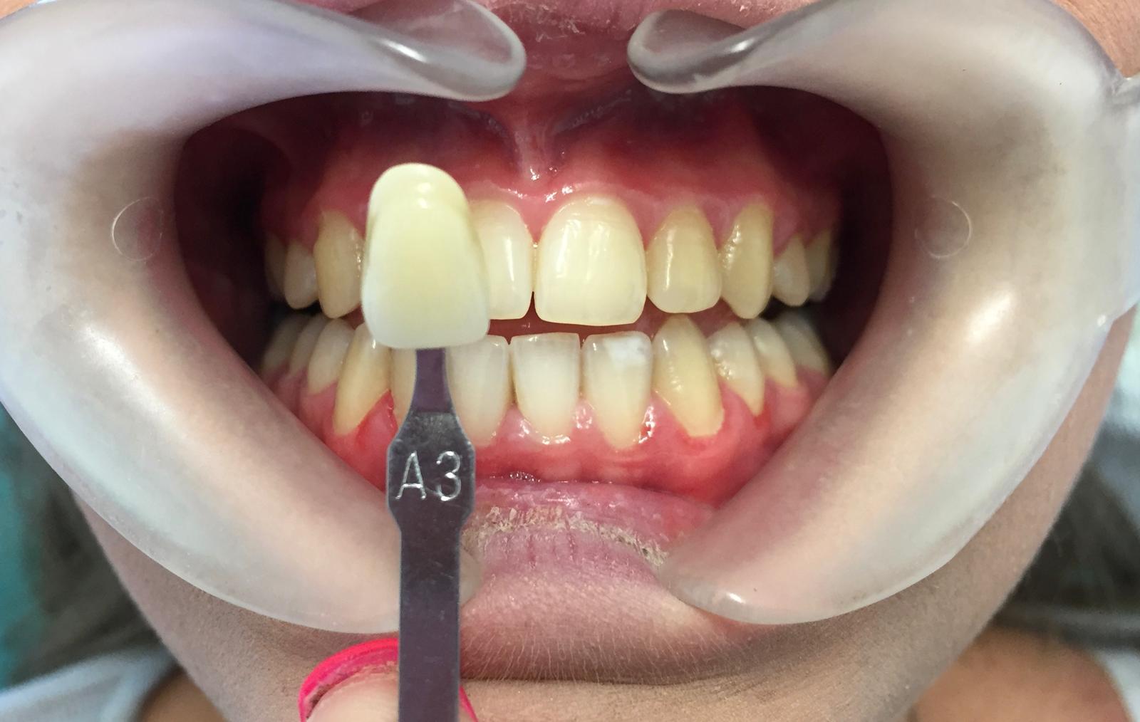
This patient wanted to brighten their smile and remove years of staining. After a detailed consultation, we carried out professional tooth whitening to safely lift discolouration and achieve a noticeably whiter, more radiant smile while maintaining a natural finish.
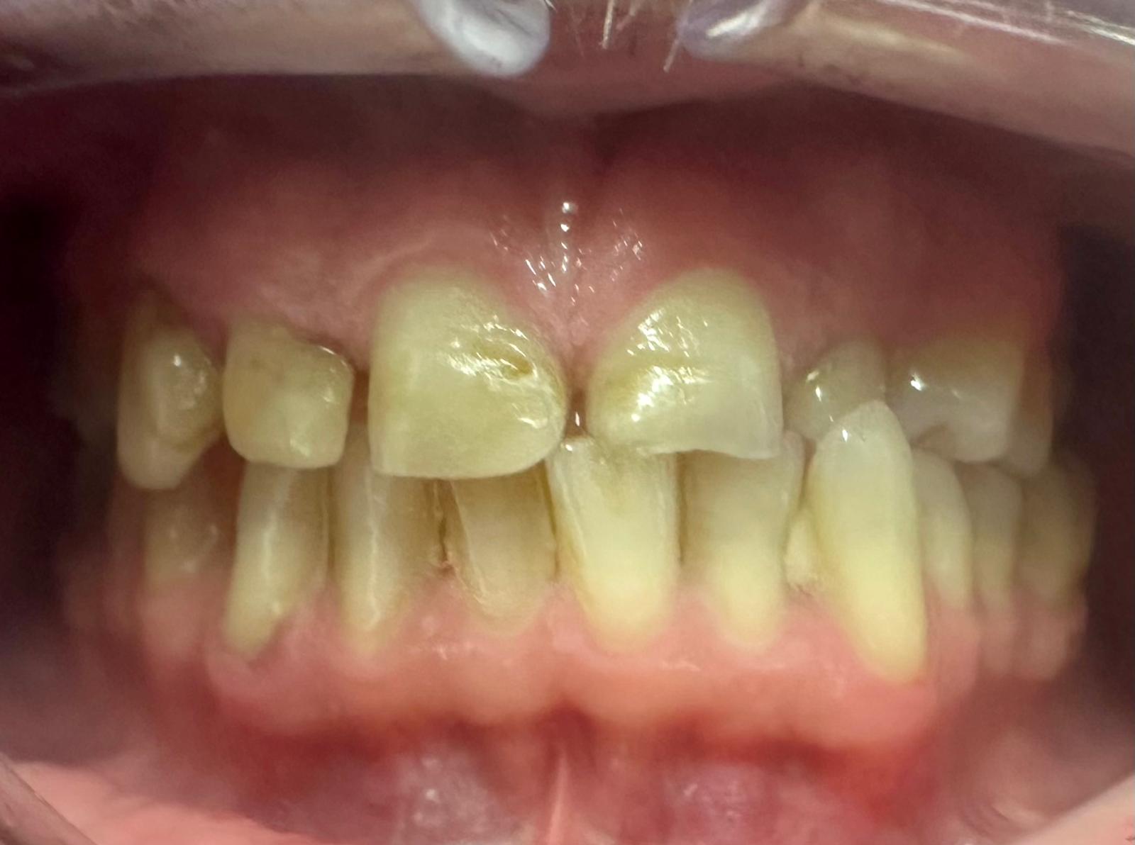
This patient wanted to improve the appearance and strength of several front teeth. After a detailed consultation, we used a combination of veneers and crowns to restore shape, colour and symmetry. The result is a beautifully natural smile with lasting strength and confidence.
Using a combination of crowns, veneers and a dental bridge, we were able to rebuild damaged teeth, replace a missing tooth, and create a natural, balanced smile. Each restoration was carefully designed to blend seamlessly with the patient’s features for a long-lasting, confident result.